
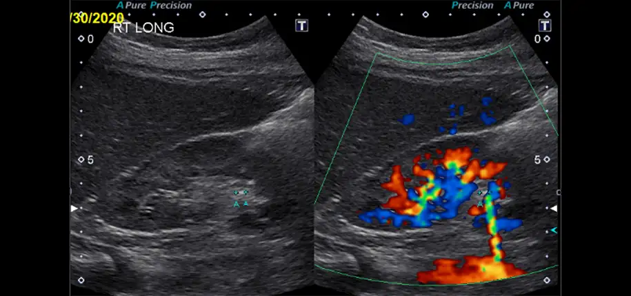
Abdominal or flank pain is a fairly common reason to go see a doctor or go to the emergency department. Kidney stones can be the cause of this symptom. Patients can also have blood in their urine, either visible or only microscopic. Imaging plays a big role in diagnosing kidney stones. A common modality to start off with is an ultrasound. Since ultrasound does not use ionizing radiation, it is especially attractive to use to image children. Additionally, children tend to be smaller than adults, which makes it easier for the sound waves to traverse the body for image production. Also, if the stone causes obstruction, ultrasound can show dilatation of the urinary tract.
However, ultrasound is not perfect and may miss some kidney stones. In a recent study performed by Cincinnati Children’s Hospital researchers, the sensitivity was found to be 67%. This means that 33% of kidney stones are not seen by ultrasound. This is especially true for older/larger patients. Therefore, if there is still a high clinical concern for kidney stones despite a normal ultrasound, a non-contrast CT scan should be considered. One should weigh the fact that CT scans use ionizing radiation, but if there is a good clinical reason to perform a CT scan, the benefit to the patient outweighs the risk. A non-contrast CT scan does not use IV contrast, so the patient does not need to have a peripheral IV in place. Actually, IV contrast can hide kidney stones as the brightness of the contrast agent is similar to that of stones.
On occasion, abdominal radiography is ordered as the first test. This can happen when the initial clinical concern is for something else like possible bowel abnormalities or otherwise vague symptoms. We can see about 50-60% of kidney stones by radiography. So, it is good for radiologists to be able to recognize kidney stones in these situations. We do not use MRI or nuclear medicine to detect kidney stones as they are not well seen on these modalities. These modalities may be used to evaluate obstructed kidneys, but the cause of the obstruction in this setting is usually not due to stones.
Referenced article: Robertson NP, Dillman JR, O’Hara SM, et al. Comparison of ultrasound versus computed tomography for the detection of kidney stones in the pediatric population: a clinical effectiveness study. Pediatr Radiol. Published online February 23 2018. doi: 10.1007/s00247-018-4099-7.
Dr. Sunny Pitt, author; Glenn Miñano, BFA, editor; Meredith Towbin, copy editor