
Your child’s healthcare provider may order a chest x-ray for many reasons, including trouble breathing, cough, fever, chest pain, or injury to the chest area. Chest x-rays can identify abnormalities of the lungs, airway, heart, mediastinum (middle chest area), and bones.
Chest x-rays can show infections (such as pneumonia) or a collapsed lung (called a pneumothorax). Chronic lung conditions like asthma and cystic fibrosis can be evaluated with a chest x-ray. Certain cancers can also be identified with chest x-rays.
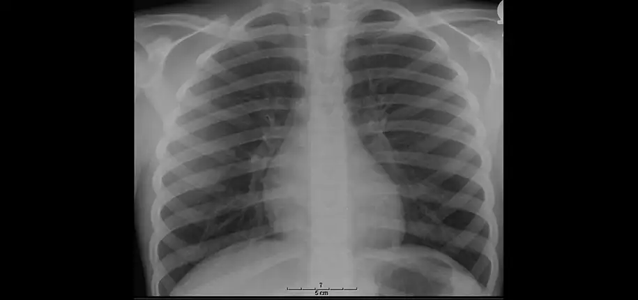
(Normal chest x-ray, featured image above)




Unless your child is having discomfort moving into different positions due to an injury or recent surgery, a chest x-ray is quick and painless to perform. He or she will need to remove any clothing, jewelry, or other objects that may get in the way of the exam.
After the exam, the chest x-ray will be interpreted by one of our pediatric radiologists and a report will be sent to your child’s healthcare provider.
Meredith Towbin, copyeditor