
We live in an exciting time of technological advances. One such advance is the rapid development of computer power. For example, modern computer speed and advanced software have allowed the development of intricate computer programs that allow cars to drive themselves. This very same technology that allows cars to learn and adapt from their surroundings so that they can drive down the street without any help from us has also made its way into the hospital clinics at Cincinnati Children’s.
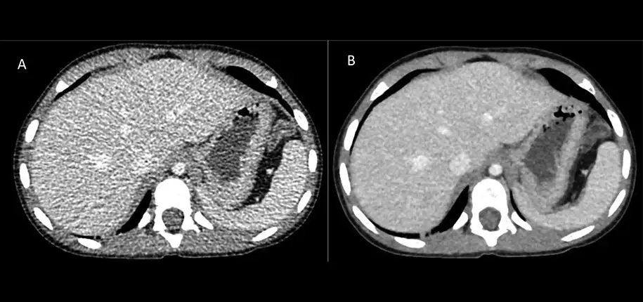
One such example has recently been implemented in the Radiology clinic at Cincinnati Children’s. Over the last year, physicians and scientists at the hospital have been actively working with the manufacturer of our Computed Tomography (CT) scanners to help develop an Artificial Intelligence (AI) computer software that improves the diagnostic quality of the images acquired on the CT scanners in the hospital. This technology has been trained to find areas of low-image quality, such as areas of excessive image noise or clutter, and remove that overlying clutter so that radiologists have a view of the underlying pathology and anatomy. In essence, this technology has been trained to “clean up” the images and present a better version of the image for higher diagnostic confidence.

After years of testing and development, this software was recently installed on CT scanners at the Liberty and Burnett campuses. The introduction of the new AI-driven CT image reconstruction software has immediately improved overall image quality and further improved the safety of these scanners. This new AI technology adds to the further progression of technological advances that are being pursued and investigated at Cincinnati Children’s.

Samuel Brady, PhD, author; Glenn Miñano, BFA, editor; Meredith Towbin, copyeditor.