
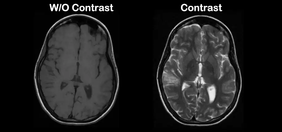
You might have learned from previous radiology blog articles that gadolinium is an element that is used in MRI contrast. MRI contrast is a medicine that is injected into the veins. The contrast allows our radiologists to better visualize any abnormalities within the body. Some things show up on scans that we’d otherwise be unable to see without using contrast. Here at Cincinnati Children’s, our radiologists are very careful in only using IV contrast when it is truly necessary for the exam.
Just like other medical advancements, MRI contrast has come a long way. Throughout the years, we have used several gadolinium products. Our radiology department prides itself in using the safest products on the market. Currently, our most commonly used contrast is called Dotarem. It has a very low risk of allergy-like reactions. Dotarem contains a small amount of gadolinium (metal) that can sometimes linger in the body. In most cases, this does not cause any problems. However, safety is always our primary concern.
New to the gadolinium family is a contrast called Elucirem. We are excited to utilize this new product at Cincinnati Children’s for several reasons: A lot of research and testing has been done to show that Elucirem is even more stable than Dotarem, meaning it is less likely to leave any metal remnants within the body. Elucirem has a high relaxivity, or sensitivity. This means that it has half the amount of gadolinium, but it enhances just as much. In fact, radiologists have noticed that abnormalities highlight even brighter than before! Elucirem has the same low risk of reactions as Dotarem. What a wonderful breakthrough! We get the same effect while administering half the amount of contrast.
One of the awesome things about being ranked #1 in the nation is that Cincinnati Children’s is a leader in implementing these new advances in medicine. As we continue grow and learn, you can trust that your child’s safety and well-being is always our highest priority.
Contribution: Alex Towbin, MD